Nhổ răng khôn có nguy hiểm không? Đây là câu hỏi khiến nhiều người lo lắng khi phải đối mặt với quyết định này. Răng khôn, thường mọc ở vị trí khó khăn, dễ gây đau nhức và viêm nhiễm. Hiểu rõ về quy trình nhổ răng khôn và liệu có biến chứng sau khi nhổ răng khôn hay không sẽ giúp bạn chuẩn bị tinh thần tốt hơn. Việc chăm sóc sau nhổ răng khôn cũng rất quan trọng để quá trình hồi phục diễn ra suôn sẻ. Nhổ răng khôn bao lâu thì lành là điều mà nhiều bệnh nhân muốn biết để lên kế hoạch sinh hoạt thích hợp. Đây không chỉ là một thủ tục nha khoa phổ biến mà còn đòi hỏi sự chú ý chi tiết và chăm sóc tận tâm từ phía bạn cũng như bác sĩ. Hãy cùng khám phá để có cái nhìn toàn diện và yên tâm với nỗi lo.
1.Quy Trình Nhổ Răng Khôn: Bước Đầu Để Đạt Được Nụ Cười Hoàn Hảo

Nhổ răng khôn, còn được biết đến như can thiệp ngoại khoa phổ biến, không chỉ đơn thuần là việc loại bỏ những chiếc răng đáng phiền này mà còn là bước đầu để cải thiện sức khỏe răng miệng toàn diện. Quá trình này giúp giải quyết các vấn đề như viêm nhiễm, đau nhức và tạo không gian cho răng khác phát triển tốt hơn. Bằng việc nhổ răng khôn đúng lúc và đúng cách, bạn có thể tránh được các biến chứng lâu dài và duy trì nụ cười tự tin, hoàn hảo.
1.1. Khám Xét Trước Khi Nhổ Răng Khôn
Trước khi thực hiện nhổ răng khôn, bác sĩ sẽ tiến hành khám xét kỹ lưỡng để đánh giá tình trạng răng miệng và xác định phương pháp điều trị phù hợp.
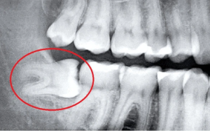
Đánh Giá Tình Trạng Răng Miệng
Bác sĩ sẽ sử dụng các thiết bị như chụp X-quang để có cái nhìn rõ ràng về vị trí và tình trạng của răng khôn. Điều này không chỉ giúp xác định răng có mọc lệch hay không mà còn giúp dự đoán các thách thức tiềm ẩn trong quá trình nhổ răng.
Tư Vấn Trước Khi Nhổ Răng
Thông qua buổi tư vấn, bác sĩ sẽ giải đáp mọi thắc mắc và lo ngại của bạn, chẳng hạn như “nhổ răng khôn có nguy hiểm không”. Quá trình này đặc biệt quan trọng để bệnh nhân hiểu rõ về những gì sẽ xảy ra trong và sau khi nhổ răng.
1.2. Quy Trình Nhổ Răng Khôn
Quy trình nhổ răng khôn được thực hiện trong điều kiện vô trùng và với sự hỗ trợ của công nghệ tiên tiến để đảm bảo an toàn và hiệu quả.
Tiêm Thuốc Tê
Việc đầu tiên trong quy trình là tiêm thuốc tê để đảm bảo bệnh nhân không cảm thấy đau đớn trong suốt quá trình nhổ răng. Loại thuốc tê và liều lượng sẽ được bác sĩ điều chỉnh sao cho phù hợp nhất với từng cá nhân.
Nhổ Răng Bằng Kỹ Thuật Tiên Tiến
Sau khi thuốc tê có hiệu lực, bác sĩ sẽ thực hiện thao tác nhổ răng khôn. Với sự hỗ trợ của công nghệ mới và kỹ thuật chính xác, quy trình nhổ răng diễn ra nhanh chóng và ít gây khó chịu cho bệnh nhân.
Kiểm Tra Sau Khi Nhổ Răng
Sau khi răng khôn đã được nhổ bỏ, bác sĩ sẽ tiến hành kiểm tra lại vùng răng để đảm bảo không còn mảnh răng nào sót lại và tình trạng chảy máu được kiểm soát tốt.
1.3. Chăm Sóc Sau Khi Nhổ Răng Khôn
Chăm sóc hiệu quả sau nhổ răng khôn là bước cuối cùng để hoàn thiện quá trình điều trị và đảm bảo vết thương lành nhanh chóng.
Chỉ Dẫn Chăm Sóc Tại Nhà
Bệnh nhân sẽ được hướng dẫn cụ thể về cách chăm sóc khu vực vừa nhổ răng, bao gồm cách vệ sinh, thức ăn nên và không nên ăn, cùng với các phương pháp giảm đau an toàn.
Theo Dõi Tình Trạng Hồi Phục
Trong vài ngày đầu tiên sau khi nhổ răng, kiểm tra các dấu hiệu viêm nhiễm hoặc bất thường là rất quan trọng. Bệnh nhân cần liên lạc ngay với bác sĩ nếu phát hiện có dấu hiệu lạ hoặc có sự cố phát sinh.
Kết luận: Nhổ răng khôn là một bước quan trọng để chăm sóc
2.Biến Chứng Sau Khi Nhổ Răng Khôn: Điều Gì Bạn Cần Lưu Ý?

Nhổ răng khôn là một thủ tục phổ biến nhưng đi kèm với khả năng gặp phải những biến chứng. Mặc dù quy trình này được tiến hành bởi các bác sĩ có chuyên môn cao nhưng hiểu biết về những vấn đề có thể xảy ra sau nhổ răng là vô cùng cần thiết. Bằng cách nắm rõ các biến chứng tiềm tàng, bạn sẽ chuẩn bị tốt hơn cho quá trình phục hồi và giảm thiểu tối đa rủi ro không mong muốn.
2.1. Sưng và Đau
Một trong những biến chứng phổ biến nhất sau khi nhổ răng khôn là sưng và đau. Đây là phản ứng tự nhiên của cơ thể khi xử lý tổn thương.
Phản Ứng Tự Nhiên
Việc sưng xảy ra do phản ứng viêm tự nhiên của cơ thể, thường kéo dài trong vài ngày đầu sau phẫu thuật. Tùy thuộc vào cơ địa, mức độ sưng và đau có thể khác nhau.
Giảm Sưng Và Đau
Bác sĩ sẽ kê đơn thuốc giảm đau và chống viêm để giúp bạn kiểm soát tốt các triệu chứng này. Ngoài ra, việc áp dụng lạnh cũng có thể giúp giảm sưng hiệu quả.
2.2. Nhiễm Trùng
Nhiễm trùng là một biến chứng nghiêm trọng mà bạn cần lưu ý sau khi nhổ răng khôn. Đây là lý do vì sao vệ sinh răng miệng cẩn thận rất cần thiết.
Dấu Hiệu Nhiễm Trùng
Các dấu hiệu nhiễm trùng bao gồm sốt, sưng ngày càng nghiêm trọng, chảy mủ hoặc mùi hôi miệng. Nếu phát hiện những triệu chứng này, bạn cần liên hệ ngay với bác sĩ.
Phòng Ngừa Nhiễm Trùng
Thực hiện vệ sinh miệng thường xuyên, súc miệng với dung dịch sát khuẩn và tuân thủ chỉ định của bác sĩ là những cách hiệu quả để phòng ngừa nhiễm trùng.
Sử Dụng Kháng Sinh
Nếu có dấu hiệu nhiễm trùng, bác sĩ sẽ kê đơn kháng sinh để điều trị và ngăn chặn sự lây lan của vi khuẩn trong miệng.
2.3. Khó Tiêu và Buồn Nôn
Một số bệnh nhân có thể trải qua triệu chứng khó tiêu hoặc buồn nôn sau khi nhổ răng khôn do tác dụng phụ của thuốc hoặc lo lắng.
Tác Dụng Của Thuốc Gây Tê
Các loại thuốc gây tê hoặc giảm đau có thể gây ra tác dụng phụ dẫn đến buồn nôn. Điều này thường chỉ tạm thời và không nguy hiểm.
Kiểm Soát Buồn Nôn
Uống nhiều nước, ăn nhẹ những thức ăn dễ tiêu và lưu ý không nằm ngay sau khi ăn có thể giúp giảm bớt các triệu chứng khó chịu này.
Kết luận: Nhổ răng khôn có thể đi kèm với một số biến chứng như sưng, đau, nhiễm trùng và buồn nôn, nhưng nếu bạn chuẩn bị kỹ lưỡng và tuân thủ đầy đủ hướng dẫn của bác sĩ, các biến chứng này có thể được kiểm soát tốt. Hiểu biết và phòng ngừa các vấn đề này sẽ giúp bạn trải qua thời gian phục hồi một cách thuận lợi nhất và duy trì sức khỏe răng miệng tốt nhất có thể.
3.Chăm Sóc Sau Nhổ Răng Khôn: Hướng Dẫn Từ A Đến Z

Sau khi nhổ răng khôn, việc chăm sóc tại nhà là rất quan trọng để đảm bảo quá trình hồi phục suôn sẻ và hạn chế các biến chứng không mong muốn. Chăm sóc đúng cách giúp giảm đau, ngăn ngừa nhiễm trùng và làm lành vết thương nhanh chóng, giúp bạn trở lại cuộc sống thường nhật mà không gặp phải quá nhiều khó chịu.
3.1. Kiểm Soát Đau và Sưng
Đau và sưng thường xảy ra sau khi nhổ răng khôn, nhưng có thể được kiểm soát tốt bằng các biện pháp đơn giản tại nhà.
Dùng Thuốc Giảm Đau
Sử dụng thuốc giảm đau theo chỉ định của bác sĩ là cách hiệu quả để kiểm soát đau. Các loại thuốc không kê đơn như ibuprofen có thể giúp giảm đau và giảm sưng.
Chườm Lạnh
Áp dụng túi đá hoặc túi chườm lạnh lên vùng má bên răng bị nhổ trong 15-20 phút mỗi lần có thể giúp giảm sưng và đau hiệu quả.
3.2. Vệ Sinh Răng Miệng Cẩn Thận
Vệ sinh răng miệng kỹ lưỡng là bước quan trọng trong quá trình phục hồi sau khi nhổ răng khôn.
Tránh Chải Răng Quá Mạnh
Khi chải răng, hãy tránh vùng vừa nhổ để không gây tổn thương mô mềm. Sử dụng bàn chải mềm và nhẹ nhàng xung quanh những vùng khác.
Sử Dụng Nước Muối Sinh Lý
Súc miệng nhẹ nhàng với nước muối sinh lý để giữ khoang miệng sạch sẽ và ngăn ngừa nhiễm trùng.
Tránh Thực Phẩm Gây Kích Ứng
Tránh thức ăn cay, nóng và các thực phẩm cứng có thể gây kích ứng hoặc tổn thương vùng vừa nhổ răng.
3.3. Theo Dõi Dấu Hiệu Bất Thường
Việc theo dõi các dấu hiệu bất thường là rất cần thiết để đảm bảo không có biến chứng nghiêm trọng phát sinh.
Chú Ý Biểu Hiện Cơ Thể
Nếu bạn gặp sưng bất thường, sốt, hoặc chảy mủ tại vùng nhổ răng, hãy liên hệ ngay với bác sĩ để được tư vấn kịp thời.
Tuân Thủ Chỉ Định Của Bác Sĩ
Luôn tuân thủ theo hướng dẫn và chỉ định của bác sĩ, từ việc dùng thuốc đến tái khám, để đảm bảo bạn đang phục hồi một cách tốt nhất.
Kết luận: Chăm sóc sau nhổ răng khôn đóng vai trò vô cùng quan trọng trong quá trình phục hồi. Bằng việc thực hiện đúng các biện pháp kiểm soát đau, vệ sinh răng miệng cũng như theo dõi các dấu hiệu bất thường, bạn có thể đảm bảo vết thương nhanh lành và sức khỏe răng miệng luôn được duy trì tốt nhất. Điều quan trọng là luôn giữ một thái độ bình tĩnh và chủ động liên hệ với bác sĩ khi cần thiết để có được sự hỗ trợ kịp thời.
XEM THÊM
“Làm Răng Sứ Thẩm Mỹ Cho Nụ Cười Hoàn Hảo”
4.Nhổ Răng Khôn Bao Lâu Thì Lành: Những Yếu Tố Ảnh Hưởng Quá Trình Phục Hồi
Bạn có băn khoăn nhổ răng khôn bao lâu thì lành hẳn? Thời gian hồi phục sau khi nhổ răng khôn có thể khác nhau giữa các cá nhân, thường kéo dài từ vài ngày đến vài tuần, tùy thuộc vào nhiều yếu tố. Việc hiểu biết những yếu tố ảnh hưởng này không chỉ giúp bạn có kế hoạch chăm sóc phù hợp mà còn tăng tốc độ hồi phục và giảm nguy cơ biến chứng.

4.1. Tình Trạng Răng Trước Khi Nhổ
Trước khi nhổ răng khôn, tình trạng của răng và sức khỏe răng miệng tổng thể đóng vai trò quan trọng trong quá trình hồi phục.
Vị Trí Và Mức Độ Lệch Của Răng
Nếu răng khôn mọc lệch hoặc ngầm, thời gian hồi phục có thể kéo dài hơn do phẫu thuật phức tạp hơn. Điều này có thể làm tăng nguy cơ đau và sưng sau khi nhổ.
Viêm Nhiễm Trước Khi Nhổ
Răng khôn bị viêm hoặc nhiễm trùng trước khi nhổ có thể làm chậm quá trình lành do vùng thương tổn cần thời gian để phục hồi sau nhiễm trùng.
4.2. Phương Pháp Nhổ Răng Khôn
Kỹ thuật và phương pháp được sử dụng trong quá trình nhổ cũng ảnh hưởng đến thời gian phục hồi.
Nhổ Răng Bằng Kỹ Thuật Xâm Lấn Tối Thiểu
Kỹ thuật nhổ răng xâm lấn tối thiểu giúp giảm thiểu chấn thương lên mô nướu và xương, từ đó rút ngắn thời gian hồi phục và giảm nguy cơ biến chứng.
Sử Dụng Công Nghệ Tiên Tiến
Sử dụng công nghệ mới như sóng siêu âm hay laser giúp quy trình nhổ răng diễn ra nhanh chóng, ít gây tổn thương và chảy máu, góp phần rút ngắn thời gian lành.
Kinh Nghiệm Của Bác Sĩ
Bác sĩ có kinh nghiệm và tay nghề cao sẽ thực hiện ca nhổ răng nhanh chóng và chính xác, giúp bệnh nhân phục hồi nhanh hơn và ít gặp biến chứng.
4.3. Chăm Sóc Sau Khi Nhổ
Chăm sóc sau nhổ răng khôn là yếu tố then chốt ảnh hưởng đến quá trình hồi phục.
Tuân Thủ Chỉ Dẫn Của Bác Sĩ
Điều quan trọng là phải tuân thủ đầy đủ chỉ dẫn của bác sĩ về cách chăm sóc vết nhổ, dùng thuốc giảm đau đúng cách và tái khám thường xuyên để theo dõi tiến trình hồi phục.
Dinh Dưỡng Và Sinh Hoạt
Chế độ ăn uống cần bao gồm thức ăn mềm và dễ nuốt, uống đủ nước và tránh các thực phẩm gây kích ứng để hỗ trợ tối đa cho quá trình phục hồi.
XEM THÊM
Làm Răng Thẩm Mỹ: Giải Pháp Hoàn Hảo Cho Nụ Cười Tỏa Sáng
Kết luận: Thời gian lành sau khi nhổ răng khôn phụ thuộc vào nhiều yếu tố như tình trạng răng trước khi nhổ, phương pháp thực hiện và cách chăm sóc sau phẫu thuật. Việc nắm rõ và tuân thủ những yếu tố này không chỉ giúp bạn có cái nhìn rõ ràng về quá trình phục hồi mà còn tạo nên nền tảng cho sự hồi phục nhanh chóng, an toàn, và hiệu quả, đảm bảo sức khỏe răng miệng trong thời gian ngắn nhất.
Nhổ răng khôn, với những lợi ích rõ ràng cho sức khỏe răng miệng và khả năng phòng ngừa các biến chứng lâu dài, nên được thực hiện với sự chuẩn bị và chăm sóc kỹ lưỡng. Bài viết đã cung cấp thông tin chi tiết từ quy trình, biến chứng tiềm tàng, đến cách chăm sóc sau khi nhổ răng khôn, giúp bạn nắm bắt và an tâm hơn với quyết định này. Hãy coi việc nhổ răng khôn như một bước đầu tư cho sức khỏe răng miệng và hãy nhớ rằng, sự chuẩn bị tốt và tuân thủ hướng dẫn của bác sĩ sẽ giúp bạn hồi phục nhanh chóng, duy trì một nụ cười khỏe đẹp. Đừng ngần ngại liên hệ với nha sĩ ngay hôm nay để được tư vấn và xử lý răng khôn một cách an toàn và hiệu quả.
XEM THÊM
Strengthening public health laboratory services
Liên hệ:
https://ynhakhoa.com